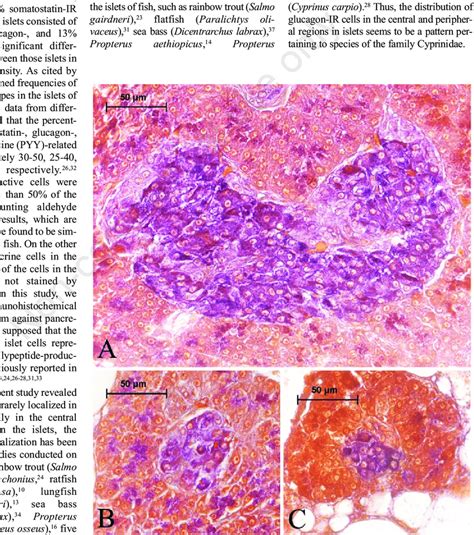
Jimmie Bloch Blog